Skip to content
+91 7996533566
Monday - Sunday : 10:00 am 7:00 pm, Tuesday - Closed
Instagram
Facebook
Map-marker-alt
Home
About Us
Services
Gallery
Appointment
Contact Us
X
WhatsApp
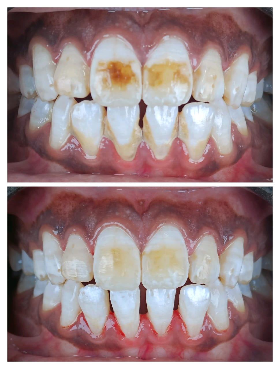
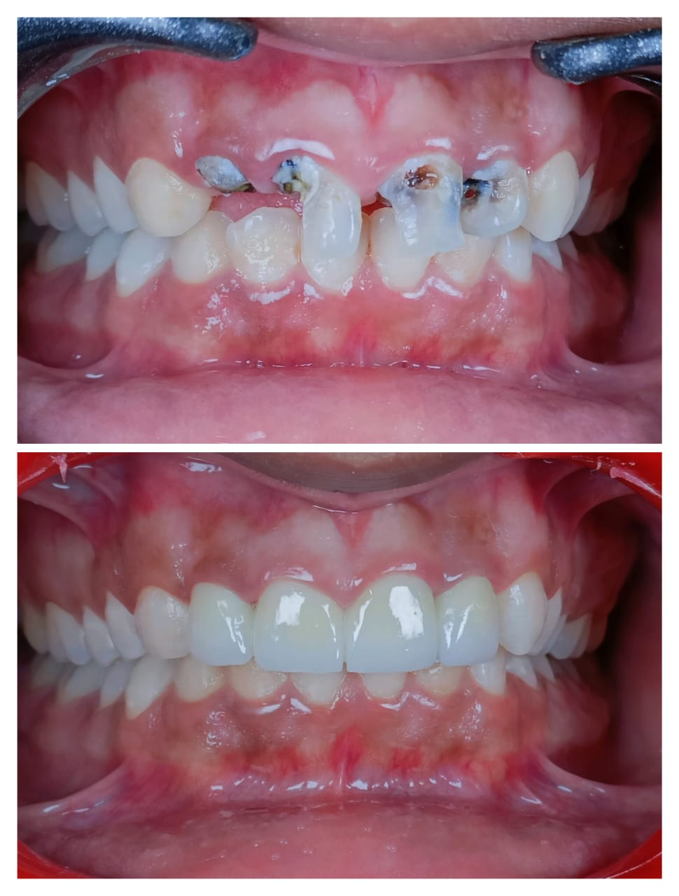
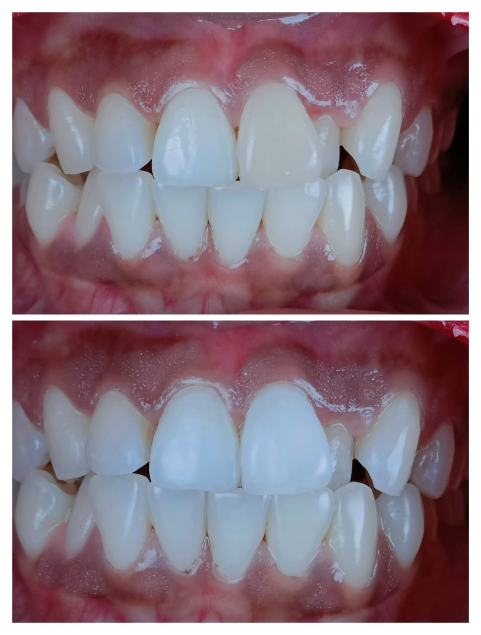
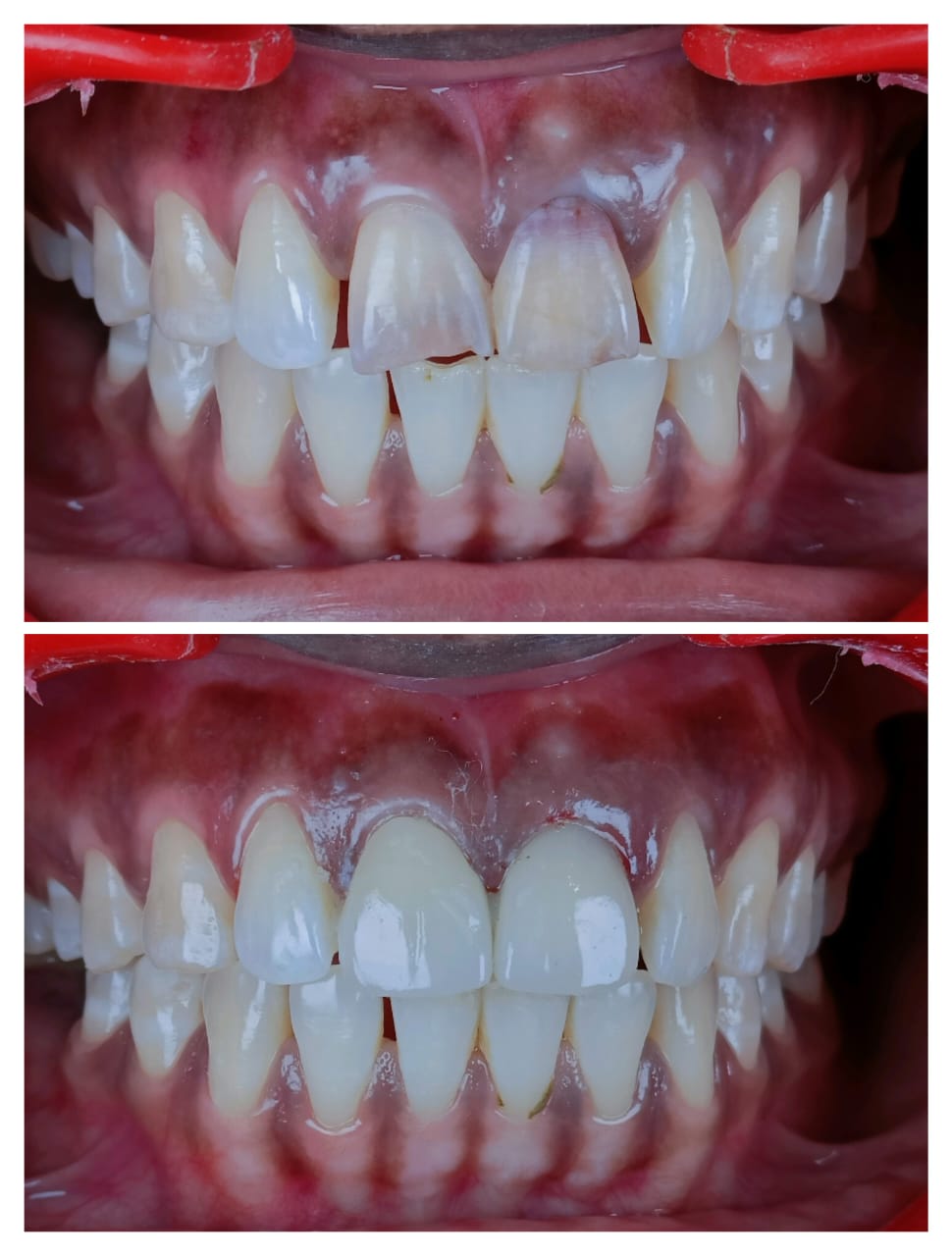
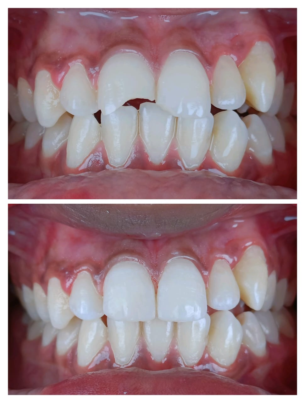
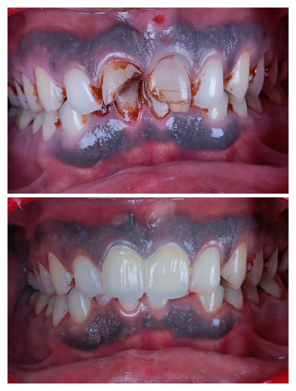
Gallery