


Trusted dental care in Rajajinagar
Our Dental Services
Regular Dental Checkup
Quick checkup to keep your teeth healthy and spot problems early before they turn serious.
Braces / Aligners
Straighten your teeth the modern way with braces or clear aligners for a better smile.
Dental Implants
Permanent, natural-looking replacement teeth that let you chew and smile with confidence.
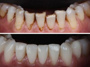
Teeth Restoration / Filling
Fix cavities with strong tooth-colored fillings that blend naturally and last long.
Teeth Whitening
Safe whitening that removes dullness and brings back your natural bright smile with krilay dental hub.
Root Canal Treatment
Relieves pain fast and saves your natural tooth with a smooth, comfortable procedure.
Paediatric / Kids Dentistry
Friendly dental care for kids that makes every visit easy, calm and stress free.
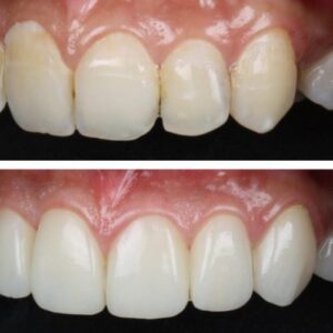
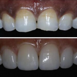
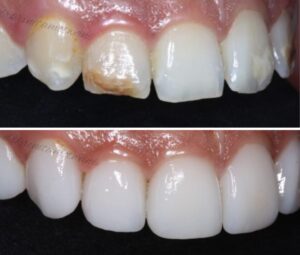
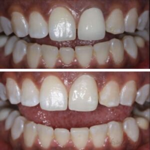
Smile Correction
Improve tooth shape, alignment and color for a clean, confident and balanced smile.
ABOUT KRILAY DENTAL HUB
A Trusted Name for Gentle Dental Care in Rajajinagar
With over 5 years of experience in leading dental clinics, Dr. Pranay Krishnappa started KRILAY Dental Hub to bring honest, modern, and aesthetic dental care to the heart of Bengaluru. We focus on comfort, ethics, and precision — helping every patient smile with confidence.
HAPPY PATIENTS
Customer Satisfaction
Smile Makeovers
Why Choose KRILAY Dental Hub
Dr. Pranay Krishnappa
(BDS, MRD)
About the Doctor
Dr. Pranay Krishnappa (BDS, MRD)
Founder & Chief Dentist – KRILAY Dental Hub, Rajajinagar, Bengaluru
With more than 5 years of professional experience, Dr. Pranay Krishnappa has earned a strong reputation as one of the most trusted young dentists in Bengaluru. Before starting KRILAY Dental Hub, he worked with several reputed clinics, gaining hands-on expertise in aesthetic, restorative, and preventive dentistry.
Dr. Pranay has always been passionate about art and creativity, and he found dentistry to be the perfect blend of both science and artistry. Every treatment he performs — from simple fillings to complete smile makeovers — is done with precision, patience, and a genuine passion for helping patients feel confident in their smiles.
Known for his ethical approach, painless procedures, and attention to detail, Dr. Pranay ensures every patient receives personalized dental care in a safe and hygienic environment. His mission is simple — to make quality dental care accessible, comfortable, and affordable for every individual and family in Rajajinagar and across Bengaluru.
Make your smile shine again













